Pacienții români au de acum acces, în regim compensat, la un tratament inovator pentru Leucemie Limfoblastică Acută
Începând cu 11 iulie, dată la care a fost publicat protocolul de prescriere, pacienții români cu Leucemie Limfoblastică Acută (LLA) vor avea acces la un nou tratament inovator în regim compensat. Noua moleculă crește semnificativ șansa la viață a pacienților, comparativ cu opțiunile de tratament existente pe piață în prezent.
“Ne bucurăm că le putem oferi pacienților români cu Leucemie Limfoblastică Acută o opțiune terapeutică inovatoare în regim compensat 100%. Tratamentul dezvoltat de Amgen este primul progres major din ultimii zeci de ani pentru LLA, o afecțiune oncologică ultra-orfană, extrem de agresivă, care progresează rapid. Noua opțiune terapeutică îmbunătățește substanțial starea de sănătate a pacienților, în comparație cu terapiile deja existente pe piață și le oferă acestora o nouă șansă la viață, prin creșterea perioadei de supraviețuire fără remisiunea bolii”, a precizat Alina Culcea, Director General Amgen România.
Noua moleculă compensată este indicată pentru tratamentul adulţilor cu LLA cu precursor de celulă B şi cromozom Philadelphia negativ (Ph-), recidivată sau refractară. Tratamentul a fost inclus pe lista de medicamente compensate şi gratuite de care beneficiază asiguraţii cu sau fără contribuţie personală, alături de alte 15 molecule noi, ca urmare a aprobării Guvernului României din data de 21 martie 2018. Molecula a fost aprobată de Administrația pentru Alimente și Medicamente din SUA (Food and Drug Administration, FDA) în 2014 prin procedură accelerată, în mai puțin de 2,5 luni, în timp ce Comisia Europeană i-a acordat autorizaţie de punere pe piaţă în noiembrie 2015.
“Creșterea accesului pacienților români la tratament este unul dintre dezideratele noastre, iar faptul că în ultimii doi ani am asistat la intrarea unui număr semnificativ de molecule noi pe lista de compensate este un pas important în acest sens. Totuși, în cazul unor patologii care progresează extrem de rapid, este la fel de important și ca toate etapele procesului administrativ să fie parcurse în mod accelerat, de la momentul aprobării unei molecule și până la momentul la care aceasta poate fi efectiv prescrisă în baza protocoalelor de prescriere, astfel încât, accesul pacienților să fie unul real. Orice amânare sau întârziere a procesului de aprobare înseamnă vieți pierdute, mai ales când vorbim despre afecțiuni oncologice foarte agresive”, a declarat Alina Culcea, Director General Amgen România.
“Noua opțiune de tratament oferită în regim compensat este una inovatoare, prin faptul că ajută sistemul imunitar al organismului să detecteze şi să ţintească celulele canceroase. Tratamentul și-a dovedit clinic eficacitatea în tratarea LLA, o afecțiune pentru care opțiunile terapeutice existente sunt limitate. Până acum, pacienții cu LLA refractari la tratament sau cei care recădeau aveau ca unică șansă un tratament citostatic mai intensiv și automat mult mai agresiv, cu reacții adverse puternice, care atacau și mai mult un pacient deja foarte încercat de boală. Cu noua opțiune de tratament, rata de remisiune a bolii este semnificativă din punct de vedere statistic. Mai mult decât atât, o perioadă prelungită de remisiune crește șansa pacientului de a efectua un transplant medular”, a explicat conferențiar doctor Horia Bumbea, de la Spitalul Universitar de Urgență București.
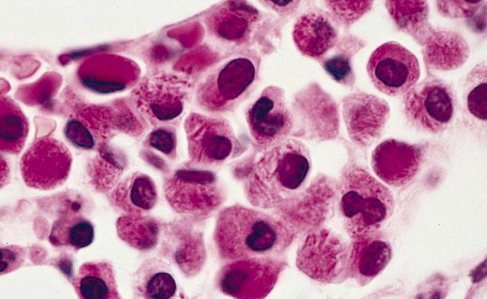
Leucemia Limfoblastică Acută (LLA) este o afecțiune hematologică severă, fiind o formă rară de cancer al sângelui și măduvei osoase, caracterizată prin progresie rapidă[1] [2]. În doar câteva săptămâni, boala evoluează, simptomele se înrăutățesc, iar starea de sănătate fizică și psihică a pacientului se alterează semnificativ. Afecțiunea este determinată de înmulțirea la nivelul măduvei osoase hematogene (din interiorul oaselor late) a unor celule foarte tinere, care sunt anormale ca structură şi funcţie și care invadează întreagă măduva osoasă.
LLA este prezentă atât la adulți, cât și la copii. În cazul adulților, LLA afectează o populație relativ tânără, aflată la apogeul vieții (vârsta medie la diagnosticare a pacienților este între 34 și 39 de ani)[3] [4].
Despre Amgen
Amgen își asumă angajamentul de a valorifica la maxim potențialul biologiei în beneficiul pacienților care suferă de afecțiuni grave, prin descoperirea, dezvoltarea, producerea și distribuirea medicamentelor inovatoare de uz uman. La baza acestei abordări se află folosirea unor instrumente precum genetica umană avansată, ce permit descoperirea aspectelor complexe ale bolii și înțelegerea elementelor fundamentele ale biologiei umane.
Amgen se concentrează pe nevoi medicale importante ce nu au fost soluționate până în prezent și își valorifică competența în domeniul fabricării terapiilor biologice ca să identifice soluții ce pot îmbunătăți semnificativ sănătatea și viața oamenilor. Pionier în biotehnologie din 1980, compania Amgen s-a dezvoltat și a devenit în timp una dintre principalele companii independente de biotehnologie, cu terapii care au tratat milioane de pacienți din întreaga lume și are în dezvoltare un portofoliu de medicamente de ultimă generație.
